1.PENGENALAN
Dalam psikologi, pembelajaran ini biasanya ditakrifkan sebagai satu
proses yang membawa bersama-sama kognitif, emosi dan pengaruh serta pengalaman persekitaran
untuk memperoleh, meningkatkan atau membuat perubahan dalam pengetahuan,
kemahiran, nilai, dan pandangan dunia. Ia juga dianggap sebagai satu cara di
mana maklumat diserap, diproses dan disimpan.
Menurut Williams & Anandam (1973), pembelajaran sebagai
perubahan tingkah laku kekal yang dihasilkan daripada pengalaman atau latihan. Teori pembelajaran
dalam behaviorisme mengatakan bahawa pembelajaran merupakan satu proses
pelaziman, di mana hubungan antara rangsangan luar dengan tindak balas individu
dapat dibina untuk menghasilkan perubahan tingkah laku yang kekal. Tokoh-tokoh
behaviorisme seperti Pavlov, Thorndike dan Skinner berpendapat bahawa
pembelajaran merupakan suatu tingkah laku yang boleh diperhatikan, dikawal dan
diramal.
Dari perspektif behaviorisme, pembelajaran hanya bermula apabila
wujudnya tindak balas terhadap suatu rangsangan yang diberi. Proses
pembelajaran akan diteruskan jika terdapat motivasi ekstrinsik yang sesuai sama
ada peneguhan positif atau negatif.
Sementara pembelajaran dikatakan berakhir apabila perubahan tingkah laku dapat
dibentuk dan dikekalkan. Behaviorisme merupakan satu pendekatan pemikiran yang
menekankan peranan pengalaman dalam mengawal tingkah laku.
Proses-proses penting yang mengawal tingkah laku ini adalah dipelajari. Kedua-duanya merupakan dorongan
yang membangkitkan tingkah laku tertentu yang melalui interaksi dengan
persekitaran. Antara matlamat utama pemikiran ini ialah untuk menentukan
hukum-hukum ataupun prinsip-prinsip yang mengawal pembelajaran.
Dalam tugasan kali ini, saya memilih aspek kesihatan fizikal untuk
dihuraikan dalam kehidupan seharian. Justeru, kesihatan amat penting dalam
menjamin keceriaan hidup setiap individu. Kesihatan merujuk kepada keadaan
tubuh badan yang tidak mengalami sebarang masalah seperti penyakit kencing manis, jantung, darah tinggi
dan sebagainya. Terdapat pelbagai cara, panduan dan langkah untuk yang boleh
diamalkan oleh seseorang untuk memiliki tahap kesihatan yang baik. Dalam pada
itu, terdapat juga tingkah laku positif dan negatif berkaitan dengan aspek
kesihatan fizikal.
2.DUA TINGKAH LAKU POSITIF
2.1Tidur Yang Cukup
Waktu tidur adalah merupakan
saat yang paling baik dalam merehatkan badan kita dari melakukan kerja
seharian yang menyibukkan. Setiap manusia memerlukan tidur yang mencukupi tidak kira apa latar
belakangnya. Menurut Pakar Terapi Hipnotik Julian
Leicester, tidur juga seharusnya diseimbangkan agar badan dan minda kita tidak
mempunyai sebarang tekanan. Seseorang yang tidurnya cukup akan mendapat
kesihatan yang lebih baik. Malah jiwanya akan terasa bahagia serta kecergasan
fizikal dan mindanya akan bertambah daripada mereka sentiasa terasa letih
sepanjang masa.
Selain itu, tidur yang
berkualiti mampu memberikan kesan menakjubkan seperti membantu meningkatkan
kecekapan kerja, menggalakkan pemulihan tubuh, meningkatkan daya ingatan,
penumpuan, daya kreatif dan kesejahteraan emosi. Sama ada kita sedar atau
tidak, tidur sebenarnya mempengaruhi metabolisma dan merangsang daya
penyerapan. Oleh hal yang demikian itu, banyak tidur juga tidak sihat untuk
tubuh badan. Ini kerana tubuh kita menyerap wap-wap kotor di udara. Jumlah
tidur yang banyak bukan menjadikan kita lebih bersemangat malah menjadikan
tubuh kita lemah.
Gambar
: Tidur Dapat Merehatkan Badan
Sumber : mediaserius.com
2.2.Melakukan Senaman
Senaman merujuk kepada beberapa aktiviti untuk meningkatkan atau
mengekalkan kecergasan fizikal dan kesihatan secara keseluruhan. Ia dilakukan
untuk pelbagai sebab termasuk pengukuhan otot dan sistem kardiovaskular,
mengasah kemahiran olahraga, kehilangan berat badan atau penyelenggaraan dan
juga bagi tujuan keseronokan. Senaman yang kerap dan tetap dapat meningkatkan
sistem imun dan membantu mencegah ‘penyakit orang kaya’ seperti penyakit
jantung, penyakit kardiovaskular, diabetes dan obesiti. Ia juga memperbaiki
kesihatan mental, membantu mencegah kemurungan, membantu untuk menggalakkan
atau mengekalkan harga diri yang positif dan sebagainya.
Sementara itu, menjadikan senaman sebagai budaya
hidup akan menjadikan kehidupan lebih aktif dan lebih penting ialah menikmati
kehidupan sihat dan jangka hayat lebih panjang.
Gambar
: Berjalan Juga Merupakan Senaman
Sumber
: drrozmey.wordpress.com
3.DUA TINGKAH LAKU NEGATIF
3.1.Tabiat Merokok
Dewasa ini, isu rokok dan merokok sebenarnya merupakan masalah
global yang dihadapi oleh masyarakat dunia sejak dahulu lagi. Kegiatan merokok
ini sering berlaku kepada masyarakat yang tidak mengendahkan tentang bahayanya
merokok bukan saja golongan lelaki malahan golongan wanita juga ada yang sudah
pandai berjinak-jinak dengan tabiat merokok ini walaupun mereka sendiri
menyedari akan kesan buruk terhadap kesihatan.
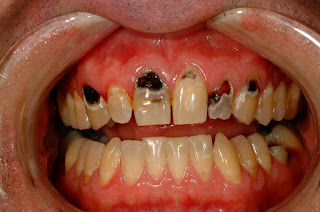
Gambar
: Kesan Akibat Merokok
Sumber
: sayangbalqiesh.blogspot.com
3.2.Pengambilan Gula
Secara Berlebihan
Gula sememangnya banyak memberi
manfaat kepada manusia. Walau bagaimanapun, pengambilan gula yang berlebihan
dapat mengundang pelbagai masalah kesihatan yang kronik kepada manusia. Mereka yang tidak mengawal pengambilan gula akan menderita penyakit
yang kronik lalu mampu menganggu kualiti kehidupan mereka.
Gula sebenarnya adalah karbohidrat ringkas yang membekalkan
sumber tenaga segera yang mudah diserap oleh tubuh. Nama saintifik
gula adalah sukrosa yang terdiri daripada fruktosa dan glukosa. Secara
semulajadi, gula boleh didapati dalam makanan yang mengandungi karbohidrat
seperti nasi, mee, roti, pasta dan ubi-ubian. Gula juga terdapat dalam buah-buahan
dalam bentuk fruktosa dan susu dalam bentuk laktosa.
Selain terdapat dalam bentuk semulajadi, gula juga di tambah ke
dalam makanan semasa pemprosesan. Gula yang ditambah ke dalam makanan dikenali
sebagai gula tambahan atau ‘free sugar’.
Gambar : Obesiti Akibat Pengambilan Gula
Berlebihan
Sumber : chefsharul.blogspot.com
4.TEORI DAN PENGETAHUAN YANG BERKAITAN
Teori merupakan satu andaian yang
dibuktikan kesahihannya secara saintifik. Ia menerangkan tentang bagaimana dan
kenapa sesuatu peristiwa tersebut berlaku di dunia yang luas ini. Selain itu,
teori juga merupakan satu penerangan tentang bagaimana dan kenapa manusia
bertingkah laku, berinteraksi dan menguruskan dirinya. Kemunculan teori-teori
ini dalam kehidupan banyak membantu manusia menerangkan tingkah laku sosial
yang berlaku di dunia ini.
Sementara itu, pengetahuan adalah informasi atau maklumat
yang diketahui atau disedari oleh seseorang. Dalam pengertian lain, pengetahuan
adalah pelbagai gejala yang ditemui dan diperoleh manusia melalui pengamatan
akal. Pengetahuan muncul ketika seseorang menggunakan akalnya untuk mengenali
benda atau kejadian tertentu yang belum pernah dilihat atau dirasakan
sebelumnya.
4.1.Teori Behaviorisme
Behaviorisme adalah satu teori
perkembangan tingkah laku yang dapat diukur, diamati dan dihasilkan oleh
respons seseorang terhadap sesuatu rangsangan. Tanggapan terhadap rangsangan
dapat diperkuatkan lagi dengan tindak balas positif atau negatif terhadap
tingkah laku dalam keadaan yang diinginkan. Kadang kala, hukuman digunakan
untuk menghilangkan atau mengurangi tindakan yang tidak benar dan diikuti
dengan menjelaskan tindakan yang diinginkan.
Hal ini boleh dikaitkan dengan tingkah laku positif iaitu
tidur yang cukup seperti yang diterangkan di atas di mana tidur seseorang itu
bergantung kepada tingkah lakunya sendiri sama ada mahu atau tidak. Jika
seseorang itu berfikir secara positif untuk menjaga kesihatannya maka secara
tidak langsung dia akan bertindak dan memberi perhatian terhadap tidurnya
supaya mempunyai waktu tidur yang cukup.
Namun jika sebaliknya, tingkah laku yang negatif seperti
mengabaikan tidur yang cukup akan berterusan dan menyebabkan pelbagai gejala
yang tidak sihat terhadap kesihatan seseorang itu seperti mudah mengalami
tekanan perasaan atau stress dan mudah dijangkiti kuman disebabkan oleh sistem
pertahanan yang menjadi lemah.
4.2.Teori Humanistik
Dalam teori ini, penekanan diberikan terhadap
potensi kreativiti dalaman manusia yang membantu mereka menyedari matlamat yang
paling tinggi dalam hidup mereka. Perkembangan ini telah diberi pelbagai label
seperti self-actualization, selfhood
atau self realization di mana ia
bermaksud ke arah kesempurnaan kendiri. Perspektif humanistik ini juga
menekankan keunikan individu dan percaya manusia bebas membuat pilihan sendiri.
Manusia dilihat sebagai mempunyai keinginan untuk berusaha secara semula jadi
ke arah kebahagiaan dan kreativiti tersendiri.
Dalam teori ini juga, manusia dilihat mempunyai dua
keperluan iaitu keperluan asas dan keperluan perkembangan. Sama juga seperti
tingkah laku positif iaitu senaman di mana setiap manusia mempunyai matlamat tersendiri.
Sebagai contoh yang terdekat, senaman seperti yang diterangkan di atas iaitu
tidak semua manusia memilih untuk melakukan senaman walaupun masing-masing
menyedari akan kebaikkan senaman dalam kehidupan harian. Melakukan senaman
bukan sahaja menyihatkan badan malah menjadikan kita cergas dan cerdas. Tidak
melakukan senaman bukan bererti kita tidak sihat tetapi ia bergantung kepada
keperluan kendiri bagaimana kita mahu menjaga kesihatan dengan cara tersendiri.
Dalam erti kata lain, manusia bebas untuk memilih
cara yang terbaik selain senaman iaitu dengan cara berdiet selagi tidak
menjejaskan kesihatan. Dan pada pandangan saya sendiri, senaman merupakan cara
terbaik dalam menjaga kesihatan kerana kita tidak perlu mengambil sebarang ubat
atau keperluan tambahan untuk tuntutan diet yang dicadangkan kerana senaman
merupakan cara semula jadi untuk kelihatan sihat.
Gambar : Keperluan Diet Selalunya Akan Memberi
Kesan Sampingan
Sumber : mamaqaireen.blogspot.com
4.3.Teori Sosial
Teori Sosial telah diperkenalkan oleh Albert
Bandura pada tahun 1977 di mana dalam teori ini menekankan tentang aspek
interaksi antara manusia dengan persekitarannya. Dalam pada itu, terdapat beberapa
faktor yang mempengaruhi akan tingkah laku anti sosial manusia iaitu kelakuan
mereka sendiri, pengaruh persekitaran dan interaksi kognitif. Namun, menurut
Albert Bandura, latihan pemerhatian atau modeling adalah amat penting dalam
pembentukan sesuatu tingkah laku yang agresif.
Dalam teori sosial ini juga merumuskan bahawa perkara utama yang
sering dipelajari oleh manusia adalah melalui pemerhatian terhadap tingkah laku
orang lain khususnya orang yang signifikan atau ketara dengan mereka. Sebagai
contoh, tingkah laku agresif selalunya
dipelajari daripada persekitaran sosial
seperti interaksi dengan keluarga, rakan, media massa dan konsep kendiri
individu itu sendiri.
Hal ini disebabkan manusia biasanya dipengaruhi
oleh persekitaran mereka. Justeru, secara tidak langsung manusia memilih salah
satu daripada pengaruh persekitaran mereka untuk dicontohi atau diikuti. Jika
sesuatu tingkah laku negatif itu ditunjukan oleh orang terdekat sebagai contoh
ibu atau bapa, maka anak-anak akan terikut-ikut akan tingkah laku ibu bapa tersebut
dan jika ia ditunjukan oleh rakan, maka ia juga akan menjadi ikutan kepada
mereka. Dalam erti kata lain, ia di panggil pengaruh yang tidak baik.
Samalah juga seperti tabiat merokok. Ia bermula
dari rasa ingin mencuba seawal usia remaja dan lama kelamaan ia menjadi tabiat
yang susah untuk ditinggalkan sehingga meningkat dewasa. Walaupun mengetahui
akan bahayanya merokok dan kesan terhadap kesihatan tetapi disebabkan tabiat
tersebut menghalang daripada berhenti merokok. Pengaruh persekitaran juga memainkan
peranan penting dalam masyarakat. Selain itu, media massa juga bertanggungjawab
dalam fenomena ini dengan mengadakan iklan-iklan yang berkaitan dengan rokok
untuk melariskan produk yang dikeluarkan tanpa berfikir akan kesihatan yang
bakal dihadapi oleh masyarakat demi mengaut keuntungan.
Gambar : Pengaruh Buruk Kepada Anak
Sumber : chiefsworld.activeboard.com
4.4.Teori Kognitif
Dalam teori ini dapat memberikan kita rangka
tindakan mengenai proses pembelajaran di mana keupayaan untuk berfikir dan
belajar menjadikan kita manusia yang unik. Selain itu, teori ini membolehkan
kita menjadi rasional, membuat pengadilan yang baik, mentafsir dunia sekitar
kita dan mempelajari kemahiran baru.
Sementara itu, tanpa fungsi teori ini kita tidak
akan dapat mentafsirkan kehidupan seharian kita, menyesuaikan diri dengan
keadaan dan melakukan perubahan. Malah pemikiran yang negatif boleh menyebabkan
kemurungan dan kebimbangan.
Samalah juga seperti pengambilan gula secara
berlebihan. Tanpa berfikir secara rasional, kita kadang-kadang terlupa bahawa
gula juga boleh menjejaskan kesihatan bila ia diambil secara berlebihan. Memang
tidak dinafikan gula
sememangnya banyak memberi manfaat kepada manusia dan badan
kita memerlukan gula untuk memastikan semua fungsi badan berjalan dengan
lancar. Justeru, kita perlulah bijak bertindak dengan berfikir dan membuat
pengadilan akan buruk baik sesuatu perkara supaya tidak mendatangkan
kemudaratan terhadap kesihatan walaupun kadang-kadang ia kelihatan baik kepada kehidupan
seharian kita.
5.MENGEKALKAN TINGKAH LAKU POSITIF
Seperti yang dikemukakan di atas, tingkah laku
positif dari segi aspek kesihatan fizikal iaitu tidur yang cukup dan melakukan
senaman perlulah dikekalkan dalam kehidupan seharian kita bagi menjamin
kesihatan yang baik untuk jangka masa panjang. Memang tidak dinafikan bahawa
tidur itu penting dalam kehidupan setiap manusia, akan tetapi jika seseorang
itu mempunyai waktu tidur yang kurang atau lebih tidur juga akan menghadapi
masalah kesihatan. Ini kerana kurang tidur akan menyebabkan masalah seperti mempunyai
mata yang bengkak, sering merasa letih, sering mendapat masalah kesihatan
seperti kejang otot, sakit perut, serang jantung dan lain-lain. Begitu juga
lebih tidur di mana ia dikaitkan dengan risiko pendek umur. Di samping itu, apa
jua yang kita lakukan perlukan mempertimbangkan baik buruknya.
6.MENGUBAH TINGKAH LAKU NEGATIF
Tingkah laku negatif yang telah saya kemukan iaitu
tabiat merokok dan pengambilan gula secara berlebihan perlulah dihindari dan
dikurangkan dalam kehidupan kita. Seperti yang kita sedia maklum, tabiat
merokok ini bukan mudah jika mahu berhenti secara tiba-tiba, jadi jika
seseorang yang mempunyai tabiat merokok perlulah menanamkan azam terlebih
dahulu untuk berhenti dan seterusnya pelahan-lahan meninggalkan tabiat
tersebut. Sementara itu, pengambilan gula secara berlebihan juga perlu
dikurangkan dalam kehidupan seharian kita daripada dihinggapi pelbagai jenis penyakit
seperti kencing manis, diabetes, obesiti dan sebagai. Dengan ini, tingkah laku
negatif dapat diubah kepada positif dengan melakukan kegiatan yang sihat.
7.KESIMPULAN
Secara keseluruhannya, kita mengetahui bahawa
kehidupan manusia merupakan satu proses perubahan secara berterusan di mana
terdapat banyak faktor yang menyumbang kepada perubahan ini. Salah satu
daripada faktornya ialah pembelajaran. Pembelajaran diperolehi melalui
pengalaman dan berbeza antara manusia. Namun begitu, tidak semua perubahan
tingkah laku adalah akibat daripada pengalaman sebaliknya ia mungkin disebabkan
oleh faktor-faktor lain.
Beberapa teori telah dikemukakan dalam menerangkan
bagaimana proses pembelajaran terjadi. Teori-teori yang saya maksudkan ialah
teori behaviorisme, humanistik, sosial dan kognitif seperti yang dihuraikan di
atas. Teori-teori ini saya telah kaitankan dari aspek kesihatan fizikal dalam
kehidupan seharian.
Umum mengetahui, kesihatan amat penting dan perlu
dititikberatkan dalam kehidupan tidak kira walau di mana kita berada. Selagi
hidup, kita perlu menjaga kesihatan dan menghindari segala punca atau faktor
yang menghalangnya. Selain itu, pengabaian kesihatan juga akan mengakibatkan
pelbagai jenis penyakit muncul. Penyakit datang tidak kenal usia, tidak kiralah
sama ada kanak-kanak atau dewasa.
Oleh demikian, perubahan tingkah laku pada diri
kita dari aspek kesihatan adalah hasil daripada proses pembelajaran seperti
yang dihuraikan di atas.
2109 Perkataan
APENDIKS
8.RUJUKAN
/ REFERENSI
Introduction to Learning
Theory and Behavioral Psychology. (n.d.). [Online].
Available: http://allpsych.com/psychology101/learning.html.
[2012, Februari 28].
Encyclopedia of Psychology. (n.d.). [Online].
relationships/Learning/. [2012, Februari 28].
The Psychology of
Learning. (n.d.). [Online].
Available: http://people.howstuffworks.com/elearning2.htm.
[2012, Februari 28].
Teori
Pembelajaran (Teori Behaviorisme). (2010). [Online].
behaviorisme.html. [2012, Februari 28].
Behaviorisme. (n.d.).
[Online].
&do_pdf=1&id=34. [2012, Februari 28].
Overview
of Behavioral Theories. (n.d.). [Online].
[2012, Februari 29].
Behaviourism. (n.d.). [Online].
[2012, Februari 29].
B.
F. Skinner. (n.d.). [Online].
Available: http://en.wikipedia.org/wiki/B._F._Skinner.
[2012, Februari 29].
Humanistic Theory. (n.d.). [Online].
[2012, Februari 29].
Humanism. (n.d.). [Online].
Available: http://www.learning-theories.com/humanism.html.
[2012, Februari 29].
Humanistic Theory. (n.d.). [Online].
[2012, Mac 1].
Humanistic Psychology : The
"Third Force" In Psychology. (n.d.). [Online].
humanistic.htm. [2012, Mac 1].
Humanistic psychology. (n.d.). [Online].
Available: http://en.wikipedia.org/wiki/Humanistic_psychology.
[2012, Mac 1].
Humanistic Theory. (n.d.). [Online].
devpsych/humanist.htm. [2012, Mac 2].
Social learning theory. (n.d.). [Online].
Available: http://en.wikipedia.org/wiki/Social_learning_theory.
[2012, Mac 2].
Social Learning Theory
(Bandura). (n.d.).
[Online].
bandura.html. 2012, Mac 2].
Social Learning Theory. (n.d.). [Online].
learning_theory.htm. [2012, Mac 2].
Social Learning Theory : An Overview of Bandura's. (n.d.). [Online].
sociallearning.htm. [2012, Mac 2].
Psikologi kognitif.
(n.d.). [Online].
Available: http://id.wikipedia.org/wiki/Psikologi_kognitif.
[2012, Mac 2].
Teori Kognitif Psikologi Perkembangan Jean Piaget. (2009). [Online].
perkembangan-jean-piaget/06511234. [2012, Mac 3].
Psikologi Kognitif.
(n.d.). [Online].
Psikologi+Kognitif. [2012, Mac 3].
Bersenam
Mencegah Penyakit.
(n.d.). [Online].
html#ixzz1o2yLEluq. [2012, Mac 3].
Kepentingan Tidur Yang Cukup. (2011). [Online].
cukup.html. [2012, Mac 3].
Keperluan Tidur Yang Cukup. Mengapa?. (2009). [Online].
cukup-mengapa.html?zx=509d6896fb4514ed. [2012, Mac 3].
Kesan Daripada Kegiatan Merokok. (n.d.). [Online].
kegiatan-merokok/. [2012, Mac 3].
Fakta Mengenai Gula.
(n.d.). [Online].
Available: http://fabuloustaste.com/index.php?option=com_content&view=article
&id=26:fakta-mengenai-gula&catid=5:facts-a-tips&Itemid=12.
[2012, Mac 3].
Keburukan Pengambilan Gula Secara Berlebihan. (2011). [Online].
pengambilan
-gula-secara-berlebihan/. [2012, Mac 4].






No comments:
Post a Comment